A Solução Definitiva para a Perda de Dentes
Implantes Dentários
Vargem Grande do Sul - SP
Qualidade e atendimento certificados pelo selo Infinity Prime
Ranzani Odontologia e Saúde
Implantes Dentários
Menos incertezas, mais precisão
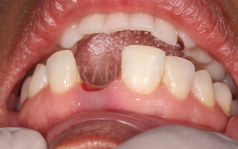
O que é um Implante Dentário?
O implante dentário funciona como uma raiz artificial. É uma pequena peça de titânio, um material biocompatível, que é cirurgicamente inserida no osso maxilar e mandibular, no local do dente perdido. Após um período de integração com o osso (osseointegração), ele servirá como uma base sólida e segura para a fixação de uma coroa de porcelana, que substitui o dente visível.
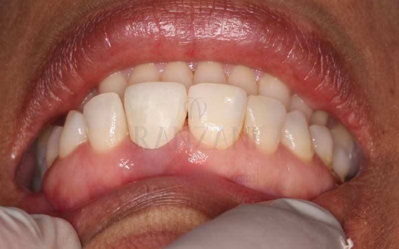
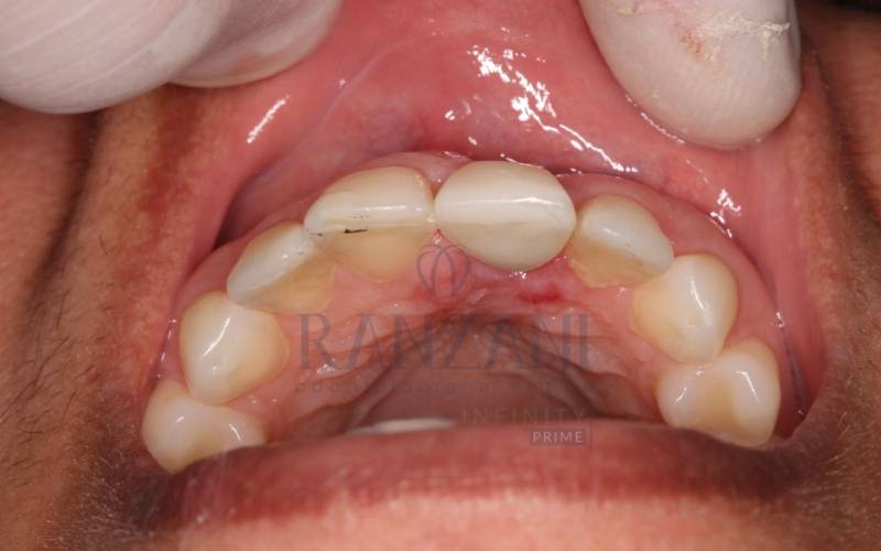
O resultado é um dente novo que se parece e funciona exatamente como um dente natural, permitindo que você coma, fale e sorria sem qualquer preocupação.
Nossos Diferenciais: Por que Fazer seu Implante na Ranzani?
Com mais de 23 anos de história e uma equipe que já atendeu mais de 15.000 pacientes, a confiança é o pilar do nosso trabalho. Oferecemos uma experiência de tratamento única na região.
Equipe Altamente Especializada
Seu tratamento será conduzido por verdadeiras autoridades no assunto. Contamos com especialistas em Implantodontia, como o Dr. João Paulo Lemos Ranzani (CRO SP 72920) e a Dra. Camille Rudoi Batista (CRO SP 136399), garantindo a mais alta qualificação técnica para o seu caso.
Tecnologia para uma Cirurgia Precisa e Rápida
Investimos em tecnologia para tornar seu tratamento mais seguro e sua recuperação mais tranquila:
- Cirurgia Guiada: Com base em um planejamento digital 3D, realizamos o procedimento sem a necessidade de grandes cortes na gengiva. Isso significa uma cirurgia mais rápida, com menos inchaço e desconforto no pós-operatório.
- Scanner Intraoral: Diga adeus às massas de moldagem. Nosso scanner digital cria um modelo 3D perfeito da sua boca, garantindo coroas e próteses com adaptação impecável.
- Diagnóstico Completo na Clínica: Possuímos Raio-X Panorâmico e outros exames radiográficos, permitindo que todo o diagnóstico seja feito aqui, sem deslocamentos.
Agilidade: Seu Novo Dente no Mesmo Dia
Tipos de Implantes Dentários que Oferecemos
Cada paciente é único. Por isso, trabalhamos com diferentes soluções para atender a cada necessidade específica:
- Implante Unitário: Ideal para a substituição de um único dente perdido.
- Prótese Protocolo: Solução fixa para quem perdeu todos os dentes de uma arcada (saiba mais na nossa página sobre o tratamento).
- Implantes Zigomáticos: Uma solução avançada para pacientes com grande perda óssea na maxila, evitando a necessidade de enxertos. O Dr. João Ranzani é um dos poucos especialistas na região habilitado para esta técnica complexa, um diferencial que só a Ranzani Odontologia oferece.
Você é um candidato a Implante Dentário?
A maioria das pessoas com boa saúde geral pode receber implantes. O fator principal é ter uma estrutura óssea adequada para a fixação. Mas mesmo em casos de perda óssea, técnicas como o implante zigomático ou enxertos podem viabilizar o tratamento.
A melhor forma de saber é através de uma avaliação completa.
Devolva a si mesmo a alegria de um sorriso completo.
Sorrisos Reais, Histórias Transformadoras
Dr. João P. Ranzani
CRO/SP: 72920
Destaque nos melhores dentistas de Vargem Grande do Sul
Nosso maior diferencial é a capacidade de oferecer soluções completas e especializadas. Sob a liderança do Dr. João P. Ranzani, especialista em Implantodontia e uma das poucas referências em Implantes Zigomáticos na região, estamos preparados para reabilitar até os casos mais desafiadores. Seja para a instalação de um implante dentário, uma prótese protocolo de resultado impecável ou a criação de um sorriso harmônico com lentes de contato dentais, nosso corpo clínico une conhecimento e tecnologia de ponta, como planejamento digital e scanner intraoral, para entregar resultados que superam expectativas.
EXCELENTE Com base em 140 avaliações Publicado em Josy Santos silvaTrustindex verifica se a fonte original da avaliação é Google. Atendimento maravilhoso, tiveram muita paciência comigo pois tenho muito medo, vocês são nota 10Publicado em Julia ElisaTrustindex verifica se a fonte original da avaliação é Google. Ótimo Atendimento, Muito Atenciosos, educados e simpáticos!Publicado em Giovana da Silva Mizasse MacedoTrustindex verifica se a fonte original da avaliação é Google. Excelência da recepção até o atendimentoPublicado em Rosangela MachadoTrustindex verifica se a fonte original da avaliação é Google. Excelente, todos profissionais. Nota 10 Indico sem medo, a melhor clínica da regiãoPublicado em Eduarda MartinsTrustindex verifica se a fonte original da avaliação é Google. Ótima recepção e excelente atendimentoPublicado em Célia aparecida Araújo maciteli AparecidaTrustindex verifica se a fonte original da avaliação é Google. Ótimo atendimento, experiência incrível. Indico a clínica Ranzani sem medo ❤️Publicado em Angélica RomanoTrustindex verifica se a fonte original da avaliação é Google. Clinica espetacular, desde a recepção até aos dentistas. Nota 10 não, nota 1000 ❤️Publicado em joselia fernandes da costaTrustindex verifica se a fonte original da avaliação é Google. Clínica excelente, atendimento nota mil, doutores muitos profissionais. ❤️Publicado em Luiz Roberto Garcia JúniorTrustindex verifica se a fonte original da avaliação é Google. Para mim É nota Mil Clínica Ranzani Odontologia é maravilhosa desde a recepção a até o Dr João!Eles São maravilhosos um carinho,excelente profissional só tenho que agradecer Todos vcs Deus abençoe 🙏Certificado: TrustindexO selo verificado do Trustindex é o Símbolo Universal de Confiança. Apenas as melhores empresas podem obter o selo verificado que tem uma pontuação de avaliação acima de 4.5, com base nas avaliações dos clientes nos últimos 12 meses. Leia mais
Do diagnóstico à finalização
O que te trouxe até aqui?
É muito provável que sua jornada tenha se iniciado com uma busca por um “dentista em Vargem Grande do Sul”. Talvez você tenha procurado especificamente por um “consultório odontológico” que aliasse tradição e tecnologia de ponta, ou simplesmente digitado “dentista” na esperança de encontrar um profissional que realmente entendesse suas necessidades.
Sabemos que, para quem reside em cidades vizinhas como Casa Branca, São João da Boa Vista ou São José do Rio Pardo, a busca muitas vezes vai além dos limites do próprio município. O que se procura é um centro de excelência, um local que justifique a viagem e ofereça tratamentos que talvez não estejam disponíveis localmente. Se você é de Itobi, São Sebastião da Grama ou até mesmo de Lagoa Branca, entende a importância de encontrar uma equipe em quem possa confiar plenamente a saúde do seu sorriso.
Por trás de cada uma dessas buscas, há um desejo em comum: a tranquilidade de estar no lugar certo. Um lugar com mais de 23 anos de história, construído sobre uma tradição familiar de mais de meio século dedicada à saúde. Um lugar que não apenas oferece tratamentos, mas transforma vidas com especialidades raras na região, como os implantes zigomáticos, sendo uma referência que atrai pacientes de São Roque da Fartura a Venda Branca.
Sua busca por um dentista em Vargem Grande do Sul e arredores não o trouxe aqui por acaso. Ela o guiou para uma clínica com selo Infinity Prime, mais de 15 mil pacientes atendidos e uma equipe de especialistas renomados. A sua procura por segurança, expertise e resultados comprovados termina agora. Seja bem-vindo à Ranzani Odontologia.