A Arte de Desenhar o Sorriso Perfeito para Você
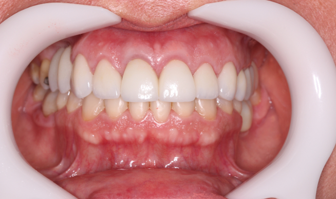
Lentes e Facetas de Porcelana
Vargem Grande do Sul - SP
Qualidade e atendimento certificados pelo selo Infinity Prime
Ranzani Odontologia e Saúde
Lentes e Facetas de Porcelana
Menos incertezas, mais precisão
Na Ranzani Odontologia, entendemos que um sorriso é a sua assinatura. Por isso, unimos sensibilidade artística à mais alta tecnologia para “transformar vidas e sorrisos”, melhorando sua qualidade de vida e, principalmente, sua autoestima.
A Diferença que Transforma: Lentes ou Facetas?
Ambos os tratamentos consistem em finíssimas lâminas de porcelana que são cimentadas sobre a superfície dos dentes, mas são indicados para casos diferentes:
- Lentes de Contato Dental: São extremamente finas, como uma lente de contato ocular. São ideais para correções sutis de cor, formato, fechamento de pequenos espaços e para dar mais volume a dentes pequenos, exigindo um desgaste mínimo ou, em muitos casos, nenhum desgaste do dente natural.
- Facetas de Porcelana: São um pouco mais espessas e permitem correções mais significativas, como dentes com manchas mais escuras, desalinhamentos moderados ou fraturas maiores, garantindo uma transformação completa.
O Padrão Ranzani de Odontologia Estética
Um sorriso perfeito é aquele que parece que nasceu com você. Para alcançar esse nível de excelência, nosso processo é meticuloso e centrado em suas expectativas.
Planejamento Digital do Sorriso (Digital Smile Design)
Este é o nosso grande diferencial. Antes de iniciar o tratamento, nós desenhamos o seu novo sorriso em um ambiente digital. Utilizando nosso Scanner Intraoral, que cria um modelo 3D preciso da sua boca, e fotografias de alta resolução, simulamos o resultado final. Você pode ver, opinar e aprovar seu novo sorriso antes mesmo de tocarmos nos seus dentes, garantindo total previsibilidade e satisfação.
A Beleza e Resistência da Porcelana
A porcelana odontológica é um material de altíssima qualidade que mimetiza perfeitamente as propriedades de um dente natural, como a translucidez e o brilho. Além disso, ela é extremamente resistente a manchas de café, vinho e outros corantes, mantendo seu sorriso branco por muitos e muitos anos.
Experiência que Garante a Naturalidade
Com mais de 23 anos de história e uma equipe com vasta experiência em reabilitação oral, temos o olhar clínico apurado para criar um sorriso que harmonize perfeitamente com seus traços faciais, tom de pele e personalidade.
Para Quem é Indicado Este Tratamento?
As Lentes e Facetas de Porcelana são a solução perfeita para quem deseja corrigir:
- Manchas e dentes escurecidos que não respondem ao clareamento.
- Dentes desalinhados ou “encavalados” (em casos selecionados).
- Espaços entre os dentes (diastemas).
- Dentes desgastados, fraturados ou com formato irregular.
- Insatisfação com o tamanho e a proporção do sorriso.
Sorrisos Reais, Histórias Transformadoras
Dr. João P. Ranzani
CRO/SP: 72920
Destaque nos melhores dentistas de Vargem Grande do Sul
Nosso maior diferencial é a capacidade de oferecer soluções completas e especializadas. Sob a liderança do Dr. João P. Ranzani, especialista em Implantodontia e uma das poucas referências em Implantes Zigomáticos na região, estamos preparados para reabilitar até os casos mais desafiadores. Seja para a instalação de um implante dentário, uma prótese protocolo de resultado impecável ou a criação de um sorriso harmônico com lentes de contato dentais, nosso corpo clínico une conhecimento e tecnologia de ponta, como planejamento digital e scanner intraoral, para entregar resultados que superam expectativas.
EXCELENTE Com base em 140 avaliações Publicado em Josy Santos silvaTrustindex verifica se a fonte original da avaliação é Google. Atendimento maravilhoso, tiveram muita paciência comigo pois tenho muito medo, vocês são nota 10Publicado em Julia ElisaTrustindex verifica se a fonte original da avaliação é Google. Ótimo Atendimento, Muito Atenciosos, educados e simpáticos!Publicado em Giovana da Silva Mizasse MacedoTrustindex verifica se a fonte original da avaliação é Google. Excelência da recepção até o atendimentoPublicado em Rosangela MachadoTrustindex verifica se a fonte original da avaliação é Google. Excelente, todos profissionais. Nota 10 Indico sem medo, a melhor clínica da regiãoPublicado em Eduarda MartinsTrustindex verifica se a fonte original da avaliação é Google. Ótima recepção e excelente atendimentoPublicado em Célia aparecida Araújo maciteli AparecidaTrustindex verifica se a fonte original da avaliação é Google. Ótimo atendimento, experiência incrível. Indico a clínica Ranzani sem medo ❤️Publicado em Angélica RomanoTrustindex verifica se a fonte original da avaliação é Google. Clinica espetacular, desde a recepção até aos dentistas. Nota 10 não, nota 1000 ❤️Publicado em joselia fernandes da costaTrustindex verifica se a fonte original da avaliação é Google. Clínica excelente, atendimento nota mil, doutores muitos profissionais. ❤️Publicado em Luiz Roberto Garcia JúniorTrustindex verifica se a fonte original da avaliação é Google. Para mim É nota Mil Clínica Ranzani Odontologia é maravilhosa desde a recepção a até o Dr João!Eles São maravilhosos um carinho,excelente profissional só tenho que agradecer Todos vcs Deus abençoe 🙏Certificado: TrustindexO selo verificado do Trustindex é o Símbolo Universal de Confiança. Apenas as melhores empresas podem obter o selo verificado que tem uma pontuação de avaliação acima de 4.5, com base nas avaliações dos clientes nos últimos 12 meses. Leia mais
Do diagnóstico à finalização
O que te trouxe até aqui?
É muito provável que sua jornada tenha se iniciado com uma busca por um “dentista em Vargem Grande do Sul”. Talvez você tenha procurado especificamente por um “consultório odontológico” que aliasse tradição e tecnologia de ponta, ou simplesmente digitado “dentista” na esperança de encontrar um profissional que realmente entendesse suas necessidades.
Sabemos que, para quem reside em cidades vizinhas como Casa Branca, São João da Boa Vista ou São José do Rio Pardo, a busca muitas vezes vai além dos limites do próprio município. O que se procura é um centro de excelência, um local que justifique a viagem e ofereça tratamentos que talvez não estejam disponíveis localmente. Se você é de Itobi, São Sebastião da Grama ou até mesmo de Lagoa Branca, entende a importância de encontrar uma equipe em quem possa confiar plenamente a saúde do seu sorriso.
Por trás de cada uma dessas buscas, há um desejo em comum: a tranquilidade de estar no lugar certo. Um lugar com mais de 23 anos de história, construído sobre uma tradição familiar de mais de meio século dedicada à saúde. Um lugar que não apenas oferece tratamentos, mas transforma vidas com especialidades raras na região, como os implantes zigomáticos, sendo uma referência que atrai pacientes de São Roque da Fartura a Venda Branca.
Sua busca por um dentista em Vargem Grande do Sul e arredores não o trouxe aqui por acaso. Ela o guiou para uma clínica com selo Infinity Prime, mais de 15 mil pacientes atendidos e uma equipe de especialistas renomados. A sua procura por segurança, expertise e resultados comprovados termina agora. Seja bem-vindo à Ranzani Odontologia.